init(); $wp->parse_request(); $wp->query_posts(); $wp->register_globals(); } $m_tpl = new CTemplateLayout($root); $description = DESCRIPTION; ?>
HTMLHeaderCSS($root); ?> HTMLHeaderJS($root); ?>あなたの⼤切な⻭がなくなる前に
⼝の中にたまった⻭垢(プラーク)が原因で、⻭⾁(⻭茎)の炎症から始まり、
やがては⻭を⽀える⾻を溶かして⻭を失ってしまう病気です。
さらに、菌が全⾝にまわって様々な病気を引き起こす恐ろしい病です。
⼀⽅で、適切な治療と予防を⾏えば防げる病気なので、定期的に検診を受けましょう。




⻭周病は⾃覚症状が少なく「静かなる病気」と⾔われています。
しかし、やがては全⾝の病に発展するなどとても怖い病気です。




10代・20代で60%、30代で80%の⼈が⻭周病に!?
あなたは⼤丈夫?
ていねいなヒアリングで、現状把握とお客様に合った治療⽅針を考えます
⾃分は⻭周病だろうか・・・⻭周病は⾃覚症状がないこともあります。
よしだ⻭科の専⾨スタッフによる診断を受けることをお勧めします。
基本的なレントゲンによる撮影をはじめ、根本的な治療をするための様々なテストや検査を⾏います。
⾒た⽬にはわからない初期の⻭周病も、様々な検査⽅法で多⾓的に確認していきます。

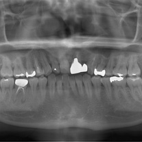
⻭周病は⻭を⽀え⾻を溶かす病気です。レントゲンを⽤いて、⻭を⽀える⾻がどのくらい⻭周病により溶かされているかを確認し、重点的に治療が必要な場所などを特定します。

⻭ぐきの下がり具合や健康状態を視覚的に把握し、改善が必要な部位を的確に把握するとともに、患者様との現在の改善状態に関する理解促進を図るための資料です。
ご⾃分のお⼝を⽬視することで、ホームケアで注意すべき箇所なども把握できます。

この検査は「むし⻭になる根本的な原因」を突き⽌め、現在どの程度むし⻭が発⽣するリスクがあるかを確認するための検査です。この検査で現状を把握し、管理することでむし⻭を発⽣させず、今後治療を必要としないお⼝づくりの対策を⽴てます。

⼝臭には、⼤きく分けて3つの原因があります。
①⻭周病(ポケット)
②⾆苔
③消化器官(内蔵)。
この検査は、⼝臭がどの原因から発⽣しているかを突き⽌め、適切な⼝臭治療を提案するために⾏います。

⻭周病の進⾏度合いの指標となる、「⻭周ポケットの深さ」、「出⾎がある部位」、「プラークの、付着度合い」、「⻭の動揺度合い」などを検査し、どのような⻭周病治療が最適かを精査します。この数値を定期的にチェックすることにより、⽣涯、⻭周病のない⼝腔状況への維持管理を⾏います。

全⾝の健康状態を把握するために、⾎中の⾎糖値濃度を測定します。糖尿病など治療に影響がある症状がでていないかを把握し、⼀⼈⼀⼈に合った最善最良の治療計画を検討します。
⼝内をきれいにして⻭周病を治療します。
⻭周病の治療では、原因となる⻭垢(プラーク)を取り除くことが第⼀です。
さらに、最先端の予防装置を使い⼝腔内を除菌してきれいにすることで根本的な治療を⾏います。

全ての治療を開始する前に、⼝腔内、⻭周ポケット内に潜む⻭周病菌をポイックウォーターを⽤いて殺菌処理を、⾏います。

ポイックウォーターを⽤いて殺菌を⾏いながら、⻭⾯についたプラークや⻭⽯の除去、⻭周ポケット深くに⼊り込んだ⻭⽯やプラークを除去します。

むし⻭菌に効果を発揮する薬剤を⽤いた殺菌・抗菌処理を、プロによる施術、およびご家庭でのケアにて実施いただきます。これにより、むし⻭菌の除菌に⾼い効果を発揮します。

⻭の表⾯に付着している⻭周病菌の巣である「バイオフィルム」を専⽤のカップを装着した回転式機器を⽤いて徹底的に取り除いていきます。⻭の表⾯の着⾊除去にも効果があります。
⻭科⽤⾼級トリートメント剤を⽤いて、表⾯を保護し、⾒違えるようなツルツルの、⻭⾯をつくりあげます。プラークがつきにくい、健康な⻭⾯にすることで、⻭周病菌の再発予防につながります。

⾆についた汚れ(⾆苔)は⼝臭の原因であるとともに、⻭周病を再発させる⻭周菌が溜まりやすい場所です。THPでは、⾆苔に対しての処理も的確に⾏い、今後⻭周病が再発しにくい、安全な⼝腔環境をつくるために、徹底的に⾆のケアも実施します。
⻭周病にならないための予防が⼀番⼤切です
検査して⻭周病ではなかった、また治療したので直ったからといって放っておくわけにはいきません。
⻭周病にならないためには⽇々の予防がとても⼤切です。
病院での専⾨的な検診のほか、⾃宅でもできる簡単な⻭周病予防のためのケア⽅法を指導しています。

⻭周病を治療すればそれで終わりではありません。⼝の中の状態を定期的に検診することで⻭周病になる前の適切な予防を⾏うことができます。あなたの健康のためはもちろん、結果的に治療費を抑えることにつながります。

⻭科衛⽣⼠が1⼈1⼈に最適な⻭ブラシ、⻭間ブラシ、フロス、⾆ブラシなどをお選びし、⼝腔内を清掃します。また、ご⾃⾝でも⾏えるように、ご⾃宅でのケアの指導も致します。

よしだ⻭科で指導したケア⽅法をご⾃宅で実践してください。毎⽇の習慣としてのブラッシングは⻭周病の予防には最も⼤切なことです。